Ponad 5 000 wykonanych zabiegów – plastyki powiek górnych i dolnych.



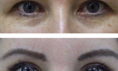
Blepharoplastyka – na czym polega zabieg plastyki powiek?
Blepharoplastyka to inaczej plastyka powiek, czyli jedna z efektywniejszych metod jeżeli chodzi o odmładzanie twarzy. Polega na chirurgicznym usunięciu nadmiaru rozciągniętej i luźnej skóry w okolicach oczu, która nie tylko dodaje naszej twarzy lat, ale i także nawet może ograniczać nasze pole widzenia. Taką operację przeprowadza się w przypadku powiek górnych, natomiast gdy zależy nam na usunięciu worków pod oczami, usuwa się zalegający w powiekach dolnych tłuszczyk. Usunięcie tłuszczyku sprawi, że oczy przestaną sprawiać wrażenie wiecznie zmęczonych czy znużonych.
Czy zabieg chirurgicznej korekty powiek jest bolesny?
Plastyka powiek to zabieg chirurgiczny, zatem wykonywany jest pod znieczuleniem miejscowym. W niektórych przypadkach pacjent może dodatkowo otrzymać lek, który sprawi, że podczas całej operacji będzie spokojny i zrelaksowany.
Chirurgiczna plastyka powieki górne – cena 4800 PLN . Możliwa konsultacja na podstawie zdjęć pacjenta.
W cenie zabiegu : zestaw pozabiegowy dla pacjenta, opieka dermatologiczna i okulistyczna.



















Na czym polega plastyka powiek górnych i dolnych?
Gdy operowana jest powieka górna, celem jest usunięcie nadmiernej ilości skóry. By to osiągnąć, lekarz wycina fragment powieki, a następnie usuwa stamtąd namiar tkanki tłuszczowej, skóry oraz zbyt rozciągniętego fragmentu mięśnia. Nacięcia następnie ukrywane są w fałdzie nadtarczkowym, a ranki po operacji zamykane małymi szwami.
W przypadku plastyki powieki dolnej celem jest usunięcie z niej nadmiaru tkanki tłuszczowej. Lekarz nacina fragment pod brzegiem rzęsowym i oddziela skórę od brzegu oczodołu. Potem nacięta zostaje przegroda oczodołowa, skąd usuwa się nadmiar tkanki tłuszczowej. Podobnie jak przy operacji powieki górnej, ślady po nacięciach zostają ukryte – tutaj w naturalnych fałdach skóry – a ranki zostają zamknięte miniaturowymi szwami.
Całość trwa około godziny.
Jak się przygotować do zabiegu?
Ze względu na chirurgiczny charakter zabiegu konieczna jest wcześniejsza konsultacja z lekarzem. Podczas konsultacji pacjenci informowani są szczegółowo o ograniczeniach dotyczących konsumpcji określonych rodzajów jedzenia, alkoholu, palenia tytoniu oraz zażywania pewnych lekarstw i witamin. Do konsultacji najlepiej przygotować się wykonując uprzednio badania poziomu glukozy, elektrolitów, moczu, kreatyniny, grupy krwi, morfologii oraz szczepień p/WZW B. Istotne jest, by podczas rozmowy z lekarzem szczegółowo opisać historię zażywanych leków oraz przebytych schorzeń.
WSKAZANIA
Zabieg plastyki powiek najczęściej wykonywany jest na kobietach i mężczyznach powyżej 35 roku życia, aczkolwiek pojawiają się też przypadki młodszy pacjentów, u których z powodów genetycznych okolice oczu starzeją się szybciej. Decydując się na zabieg istotne jest by pamiętać, iż choć poprawi on znacznie nasz wygląd oczu, nie sprawi, że zupełnie odmłodniejemy – dlatego łączymy go z innymi zabiegami odmładzającymi jak laser frakcyjny lub thermolifting Zaffiro.
PRZECIWSKAZANIA
Z przyczyn zdrowotnych od zabiegu Blepharoplastyki muszą wstrzymać się:
- Osoby posiadające skazy naczyniowe bądź infekcje ropne skóry i śluzówek
- Kobiety w ciąży
- Osoby mające nieregulowane nadciśnienie tętnicze bądź nieregulowaną cukrzycę
- Osoby z zaburzeniami krzepliwości krwi
Rekonwalescencja po zabiegu
Po operacji korekty powiek pacjent musi odczekać kilka godzin (dokładny czas ustala lekarz). Po tym czasie może powrócić do domu, gdzie zalecane jest stosowanie zimnych kompresów na poddane zabiegowi miejsce. W pierwszym tygodniu po blepahroplastyce widoczne są siniaki, które zaczynają stopniowo zanikać. Regularne nakładanie zimnych kompresów przyspiesza proces wchłaniania siniaków. Szwy nałożone na ranki zdejmowane są po około 5-7 dniach.
Należy pamiętać, że powrót do normalnego funkcjonowania wymaga trochę czasu. Czytanie książek, używanie komputera czy oglądanie telewizji jest już możliwe po pierwszych 24 godzinach. Pełny powrót do normalnego funkcjonowania jednak zabiera około 10 dni. Osoby noszące soczewki muszą się wstrzymać przed ich używaniem przez co najmniej tydzień. Ważne jest także, by przez pierwszy tydzień po zabiegu nie spożywać alkoholu.
W naszej klinice Tesoro Clinic wykonujemy również laserowy lifting powiek, który jest zabiegiem mniej inwazyjnym, wykonywanym użycia skalpela. Zachęcamy do zapoznania się z naszą ofertą!
Plastyka powiek – Cena zabiegu
| Chirurgiczna plastyka powieki górne | 4800 zł |
| Chirurgiczna plastyka powieki dolne | 5800 zł |
| Laserowa plastyka powieki górne | 5500 zł |
| Laserowa plastyka powieki dolne | 6900 zł |
| Dopłata za Anestezjologa – znieczulenie ogólne | 1500 zł |
